被遗忘记忆可能仍留在脑中
据美国《连线》杂志9月10日报道,我们都曾遗忘过一些事或者一些人,对于任何希望找回这些失去的记忆的人来说,美国一群大学生的研究发现可能让他们得到一点安慰。根据他们的研究,被遗忘的记忆可能并没有在大脑中消失,它们不过是隐藏起来,让你无法在有意识情况下发现它们的踪影。
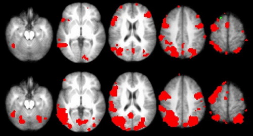
大脑成像发现了与已经遗忘的记忆相对应的激活模式
在这项由大学生进行的研究中,大脑成像发现了与这些学生认为的已经遗忘的记忆相对应的激活模式。美国加利福尼亚州大学欧文分校神经生物学家杰弗里·约翰逊表示:“即使大脑仍保留着被遗忘的记忆,你可能也永远无法访问这些信息。”约翰逊的评论出现在有关这项研究的论文中,研究论文由他联合执笔,刊登在9月9日出版的《神经元》(Neuron)上。
回想起一段记忆触发了记忆形成时被编码的神经模式,这种触发是认知学的一项准则。目前仍知之甚少的是,在不完全回忆的情况下,这些模式将变成什么。读者一定经历过这样的事情,你可能回想起曾在一家餐馆吃过早餐,但却无法回想起当时吃的是什么;你可能回想起一次特殊的谈话,但却无法回想起自己曾经说过什么。目前尚不清楚的是,类似吃了什么和说了什么这样的细节是否从大脑中消失,或者是否被一些更大的模式包容,又或者仍然保持完整只不过无法访问。
约翰逊在提到被遗忘的细节时说:“现在还不是十分清楚这些细节到底发生了什么。即使人们声称记忆中已经没有任何细节存在,我们还是可以将其中一些细节挖掘出来。就拿被遗忘的早餐来说,我们可以根据大脑活动发现有关吃了什么的信息,但在有意识情况下,你无法访问这些信息。”
研究过程中,约翰逊的研究小组分别让11名女大学生和5名男大学生进行功能性核磁共振成像检测,以观察他们大脑中血液流动的实时模式。首先,他们向每一名学生展示一张单词表,而后要求他们以倒序的方式说出每一个单词,考虑这个单词如何使用并想象一名画家将如何描绘单词表达的事物。
20分钟之后,研究人员再次向参与的学生展示单词表,并要求他们尽可能回想起每一个单词。这种回忆触发了最初的学习模式,整个过程在技术上被称之为“恢复”。记忆力越强,所传递的信号也越强。斯坦福大学记忆研究员安东尼·瓦格纳表示:“在我看来,这项研究最令人兴奋的发现就是皮层复原程度与我们记忆的主观体验强度有关。”瓦格纳并没有参与约翰逊等人的研究。
值得关注的是,在“恢复”程度最低的情况下,参与者有意识回想起的内容降为零,但信号仍然存在。一种可能的情况是,这些学生在他们回想起来的事情上撒了谎。如果不是这种情况,他们的记忆可能继续存在。
一个令人困惑的问题是,记忆能够在脑中保留多长时间,是几周、几个月还是几年?约翰逊说:“对于这个问题,我们只能进行推测。”据悉,他计划在未来几天或几周内对记忆力降低进行大脑成像研究。约翰逊说:“虽然所发现的‘恢复’程度很小,但能够发现有关‘恢复’的证据,我们仍感到很高兴。
欢迎投稿:307187592@qq.com news@fjdh.com
QQ:437786417 307187592 在线投稿
2.佛教导航欢迎广大读者踊跃投稿,佛教导航将优先发布高质量的稿件,如果有必要,在不破坏关键事实和中心思想的前提下,佛教导航将会对原始稿件做适当润色和修饰,并主动联系作者确认修改稿后,才会正式发布。如果作者希望披露自己的联系方式和个人简单背景资料,佛教导航会尽量满足您的需求;
3.文章来源注明“佛教导航”的文章,为本站编辑组原创文章,其版权归佛教导航所有。欢迎非营利性电子刊物、网站转载,但须清楚注明来源“佛教导航”或作者“佛教导航”。



